
강아지가 입을 벌리고 혀를 내밀며 숨을 헐떡이는 행동은 흔히 볼 수 있습니다. 하지만 단순한 체온 조절일 수도 있고 질병의 신호일 수도 있습니다. 특히 다음과 같은 경우라면 주의가 필요합니다. ✔가만히 있어도 헐떡인다 ✔헐떡임이 오래 지속된다 ✔기침이나 무기력 증상이 함께 나타난다, ✔ 하나 잇몸이 청색이며 헐떡인다. ✔몸을 떨면서 헐떡인다. 같은 증상일 경우 강아지는 자기가 아프다는 것을 헐떡이고 몸을 떠는 것으로 집사에게 보여줍니다.
이 같은 경우 병원 내원을 추천드리며 펫 보험이 없다면 고스란히 집사님의 부담으로 돌아옵니다. 한번 내원 시 단순 검사만 할 경우 약 10만~30만 원 정도이며 심장 또는 호흡기 질환 검사가 포함되면 30만~80만 원 이상 발생할 수 있습니다. 앞에서 말씀드린 금액은 충분히 절약 또는 자기 부담금 (약관 내용참조)만으로 병원비를 해결할 수도 있습니다. 불필요한 병원비 줄이는 방법은 실내온도 유지, 산책은 아침/밤, 목줄은 하네스 이용, 체중관리 비만은 헐떡이는 가장 흔한 원인입니다. 그리고 호흡기 질환 강아지는 염증 줄이는 식단이 도움이 됩니다. 보험은 최후의 수단입니다.
강아지는 사람처럼 땀으로 체온을 조절하지 못하기 때문에 헐떡임은 중요한 건강 신호가 됩니다.
강아지가 갑자기 헥헥거리며 숨을 헐떡이는 모습을 보이면 보호자 입장에서는 매우 걱정될 수 있습니다. 여름철 단순히 더워서 헐떡이는 경우도 있지만, 경우에 따라 기관허탈, 폐렴, 심장질환과 같은 호흡기 질환의 초기 신호일 수 있습니다.
특히 소형견이나 노령견은 호흡기 질환 발생률이 높기 때문에 초기 증상 체크와 생활 관리가 매우 중요합니다. 이번 글에서는 강아지 숨 헐떡임 원인, 위험도 판단표, 병원비 줄이는 방법, 실제 사례, FAQ까지 보호자가 꼭 알아야 할 내용을 정리했습니다.
🐶 강아지 숨 헐떡임 원인 7가지

| 원인 | 설명 | 위험도 |
|---|---|---|
| 더위 / 체온 상승 | 강아지는 땀샘이 거의 없어 헐떡임으로 체온을 조절합니다. | 낮음 |
| 운동 후 호흡 증가 | 산책이나 활동 후 산소 공급을 위해 헐떡일 수 있습니다. | 낮음 |
| 스트레스 / 흥분 | 낯선 환경, 소리, 사람 등으로 헐떡임 발생 | 보통 |
| 비만 | 체중 증가로 심장과 폐에 부담 | 보통 |
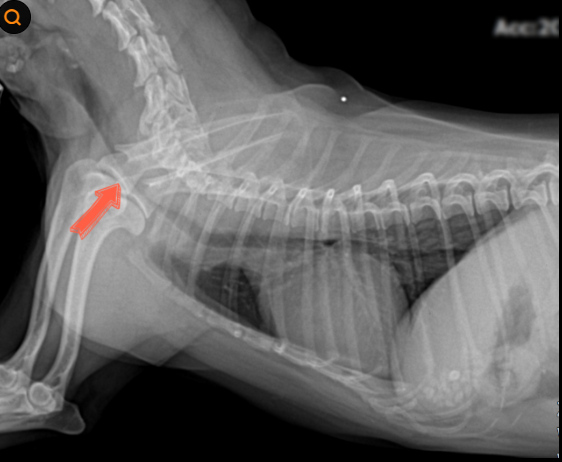
| 기관허탈 | 소형견에서 많이 발생하는 호흡기 질환 | 높음 |
| 폐렴 / 기관지염 | 기침과 함께 헐떡임 발생 | 높음 |
| 심장질환 | 특히 밤에 숨이 가빠지는 증상 | 매우 높음 |
강아지 헐떡임 위험도 판단표
| 증상 | 위험도 | 병원 방문 여부 |
|---|---|---|
| 운동 후 헐떡임 | 낮음 | 휴식 후 관찰 |
| 더위로 인한 헐떡임 | 낮음 | 체온 관리 |
| 헐떡임 + 기침 | 높음 | 병원 검사 권장 |
| 헐떡임 30분 이상 지속 | 높음 | 병원 방문 |
| 혀 색이 파란색 | 매우 위험 | 즉시 병원 |
| 밤에 숨 가쁨 | 매우 위험 | 심장검사 필요 |
강아지 숨 헐떡임 병원비 줄이는 방법 7가지

1. 실내 온도 관리
헐떡임 원인의 상당 부분은 체온 상승입니다. 실내 온도를 22~24도로 유지하면 호흡기 부담을 줄일 수 있습니다.
무더운 여름 우리 아이들 체온 관리는 필수입니다. 쿨매트 사용 ,산책은 아침/밤 시간대에, 차량에 방치 금지 이세가지만 실천해도 헐떡임 방지할 수 있습니다.
2. 목줄 대신 하네스 사용
목줄은 기관을 압박해 기관허탈을 악화시킬 수 있습니다. 특히 몰티즈, 포메라니안, 치와와 같은 소형견은 하네스 사용이 좋습니다.
3. 체중 관리
비만은 심장과 폐에 부담을 주어 헐떡임을 증가시킵니다. 화식 식단을 하루에 2~3회 소량 여러 번 급여와 아침저녁 산책 및 적절한 놀이로 우리 아이의 체중을 적정 수준으로 관리한다면 호흡기 질환 발생률을 낮출 수 있습니다.
4. 증상 영상 촬영 후 병원 방문
헐떡임 증상을 영상으로 기록하면 병원에서 불필요한 검사를 줄일 수 있습니다.
5. 식단 관리
호흡기 건강에 좋은 식재료는 닭가슴살, 연어, 브로콜리, 단호박, 아마씨오일, 고구마, 당근, 시금치, 감자, 애호박, 파프리카, 연어오일등을 단백질 40% 채소 40%, 탄수화물 20%로 적절히 조절한 화식 식단은 강아지에게 타우린, L-카르니틴, 오메가-3 지방산은 호흡기 심장 안정 영양소 공급, 마그네슘, 칼륨, 칼슘은 근육. 호흡 안정에 , 비타민 C.D, 베타카로틴은 항산화 작용, 아연, 셀레늄, 퀘르세틴은 염증완화가 있어 호흡기 질환에 취약한 7살 이상 노령견, 소형견에게 특히 효과가 있는 것으로 알려져 있습니다.
특히 타우린, L-카르니틴, 오메가-3(EPA/DHA), 마그네슘, 칼륨 이 5개는 심장+기관지+호흡근 안정에 가장 중요한 영양소입니다.
노령견,소형견을 반려견으로 기르는 가정은 화식으로 변경하는 방법도 한 가지 예방법입니다.
6. 정기 건강검진
정기적인 건강검진은 사람뿐만 아니라 강아지에게도 필요합니다. 바쁜 일상에 지친 집사님들이 무심코 놓칠 수 있는 질환들을 정기검진에서 체크 함으로써 혹시 모를 질병으로부터 초기 단계에서 질병을 발견하면 치료비가 크게 줄어듭니다.
7. 펫보험 가입
호흡기 질환은 치료비가 높기 때문에 보험이 도움이 될 수 있습니다.
헐떡임 관련 병원 검사 평균 비용

| 검사 | 평균 비용 |
|---|---|
| 기본 진료 | 1~2만원 |
| X-ray | 5~10만원 |
| 혈액검사 | 5~8만원 |
| 심장 초음파 | 10~20만원 |
강아지 헐떡임 실제 사례
사례 1
포메라니안 6세가 헐떡임과 기침을 보였습니다. 원인은 목줄 사용으로 인한 기관 압박이었습니다.
목줄을 하네스로 교체한 후 증상이 크게 감소했습니다.
사례 2
몰티즈 9세가 지속적인 헐떡임 증상을 보였습니다. 검사 결과 특별한 질병은 없었으며 비만이 원인이었습니다.
체중을 감량한 후 호흡이 정상으로 돌아왔습니다.
강아지 헐떡임 주의해야 할 위험 신호
✔혀 색이 파란색 ✔기침과 함께 헐떡임✔숨소리가 거칠어짐 ✔식욕 감소✔갑자기 쓰러짐
위 증상이 나타나면 즉시 동물병원 방문이 필요합니다.
FAQ
Q1 강아지가 헐떡이면 무조건 병원 가야 하나요?
운동 후나 더위로 인한 헐떡임은 정상일 수 있습니다. 하지만 30분 이상 지속되면 병원 방문을 권장합니다.
Q2 기관허탈은 완치가 가능한가요?
완치는 어렵지만 체중 관리와 약물 치료로 증상을 관리할 수 있습니다.
Q3 밤에 헐떡이면 위험한가요?
밤에 숨이 가빠지는 증상은 심장질환 가능성이 있어 검사가 필요합니다.
Q4 소형견이 더 헐떡임이 많은 이유는?
소형견은 기관 구조가 약해 호흡기 질환 발생률이 높기 때문입니다.
Q5 헐떡임 예방 방법은 무엇인가요?
적정 체중 유지, 하네스 사용, 실내 온도 관리가 중요합니다.
마무리
강아지 숨 헐떡임은 단순한 체온 조절일 수도 있지만 경우에 따라 호흡기 질환이나 심장 질환의 초기 신호일 수 있습니다.
보호자가 평소에 체온 관리, 체중 관리, 목줄 대신 하네스 사용 등을 실천하면 헐떡임을 예방하고 병원비 부담도 줄일 수 있습니다.
만약 헐떡임이 오래 지속되거나 기침, 식욕 감소 등의 증상이 함께 나타난다면 빠르게 동물병원에서 검사를 받는 것이 중요합니다.
관련글
"강아지 췌장염예방"에 좋은 식재료부터 ~회복기 식단까지
강아지가 엎드려 인사하는 자세로 한참씩 있는데 왜 그런지 아시나요? 복통을 완화하기 위한 자세라는데 알고 계셨어요? 바로 췌장염 때문에 강아지가 복통을 완화하기 위한 한방 편으로 취하
minkwan12.kr
'반려견' 카테고리의 다른 글
| 노령견 심장병 전조증상 (초기에 발견하는 보호자 체크 포인트) (2) | 2026.03.07 |
|---|---|
| 강아지 간수치 ALT·AST 높을 때 증상과 간수치 낮추는 방법 (2) | 2026.03.06 |
| 강아지 기관허탈 초기증상 체크리스트 (1) | 2026.03.03 |
| 강아지 구강·치아관리 왜 중요할까? (0) | 2026.03.02 |
| 강아지 호흡기 질환 폐렴·기관허탈·기관지염에서 심장병으로 발달한다면? (0) | 2026.03.02 |